| Aulario Roche

Otros

Ordenar por:

Categoría

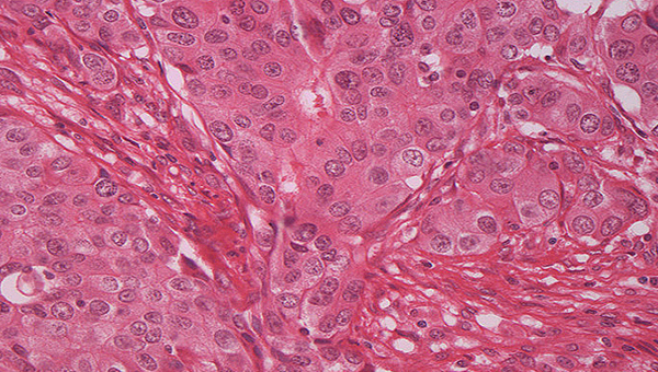
Taller de interpretación IHQ del cáncer de mama - Aprendemos HER2 low
Formación científica
Bienvenidos al curso "Taller de interpretación IHQ del cáncer de mama - Aprendemos HER2 low". Este taller está diseñado para profundizar en la importancia de...
Aspectos prácticos del servicio de prevención de la enfermedad cardiovascular en la farmacia comunitaria: Diabetes y Dislipemias
Formación científica
Descargar Folleto Indice del contenido: Campaña de prevención del riesgo cardiovascular en la farmacia. Caso 01 Campaña detección Día Mundial de la diabetes. Caso 02...
Interpretación Her-2 Dual ISH
El pasado lunes 13 de febrero, se celebró el seminario web Interpretación Her-2 Dual ISH, organizado por Roche Diagnostics. Esta sesión dedicada a la óptima...
TAONET® Pro v1.0
Roche Diagnostics ha diseñado la solución digital TAONET® Pro para la monitorización y gestión del Tratamiento Anticoagulante Oral. Desde su concepción, se plantea como una...
CoaguChek® Pro II
Uso de producto
Curso de Certificación Este curso pondrá a prueba tus conocimientos del sistema de coagulación Point of Care CoaguChek® Pro II y del procedimiento a seguir...
Sistema Accutrend® Plus
Uso de producto
El medidor Accutrend Plus se utiliza para la determinación cuantitativa de cuatro parámetros sanguíneos: glucosa, colesterol, triglicéridos y lactato. Se realiza una medición fotométrica de...
Sistema cobas b 101
Uso de producto
Este curso es una guía de manejo del sistema cobas b 101 y del procedimiento a seguir para la obtención de resultados óptimos de las...
Como usuario registrado en aulario.roche.es puedes:
Recibir sugerencias personalizadas de interés
Consultar el histórico de visualizaciones o cursos
Acceder a la totalidad de los contenidos de formación
Obtener certificados de los cursos